Случайно была обнаружена "язвочка" на животе после прогулки. Далее после тщательного осмотра были обнаружены уплотнения молочных желез у собаки. Пузо очень шерстяное, к вопросу почему раньше не обнаружили.
При моем делитанском осмотре били обнаружены в 3-5 паре. Уплотнения где-то несколько мм "шариком", где-то около см "лепешечкой".
Возраст 8 полных лет + 3-4 месяца
Вес около 28-30 кг
Порода: любимая дворовая
Питание: проплан адулт
Не рожала, последняя течка 20 числа июня (начало)
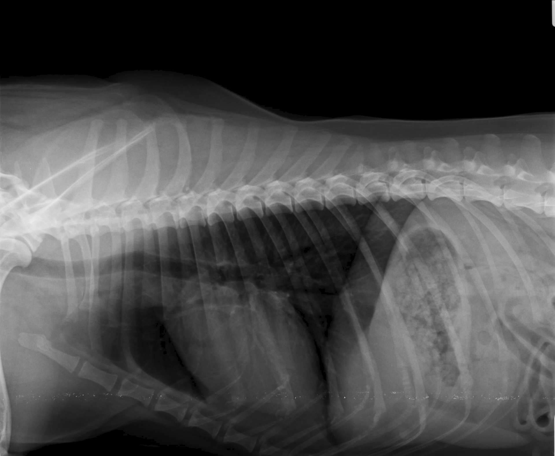
Был посещен веткабинет и сделан: биохимический анализ крови; боковой рентген грудной клетки (легкие). По поводу "язвочки" сказали кожное, обрабатывать хлоргексидином и левомиколью.
Анализ хороший, рентген вопрос. Необходимо стороннее мнение.
Общее состояние собаки: по активности изменений не вижу, все в силу возраста. К концу прогулки чуть устаем, но думаю что из-за ножки (Март 2014 года была перенесена операция по разрыву ПКС).
Живем на 3 этаже. Пулей вниз и пулей вверх.
Вполне активна, общительна и радостна. Аппетит хороший.
Было предложено полная мастэктомия с удалением матки и яичников, с последующей гистологией (по желанию).
Как я понимаю такие операции проводятся в 2 или даже 3 этапа. Это три наркоза. (((( страшновато.
Мои вопросы следующие:
1) есть ли кто сталкивался с такой проблемой у своих питомцев?
2) делают ли у нас в городе где-нибудь биопсию или цитологию? Перед тем как сразу оперировать.
3) я правильно понимаю что надо еще сделать узи грудных желез и матки? Будет ли понятно на узи, что процесс злокачественный или доброкачественный?
4) на что еще обратить внимание?
5) что у нас с трахеей? Может ли быть врожденное или ушиб в детстве? Подобрана собака в 1,5-2 месяца.
Нам предположили что под трахеей метостаз
Снимок и фотографию прилагаю. Спс за внимание и любые советы!
п.с.: в надежде на лучшее!
