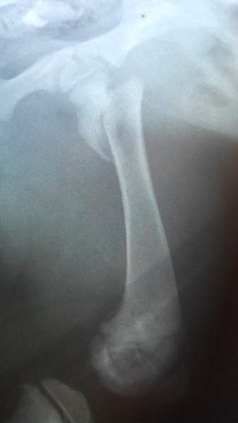
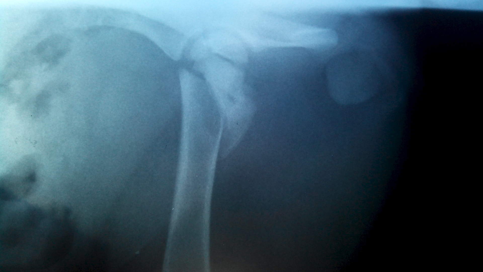
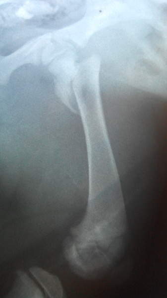
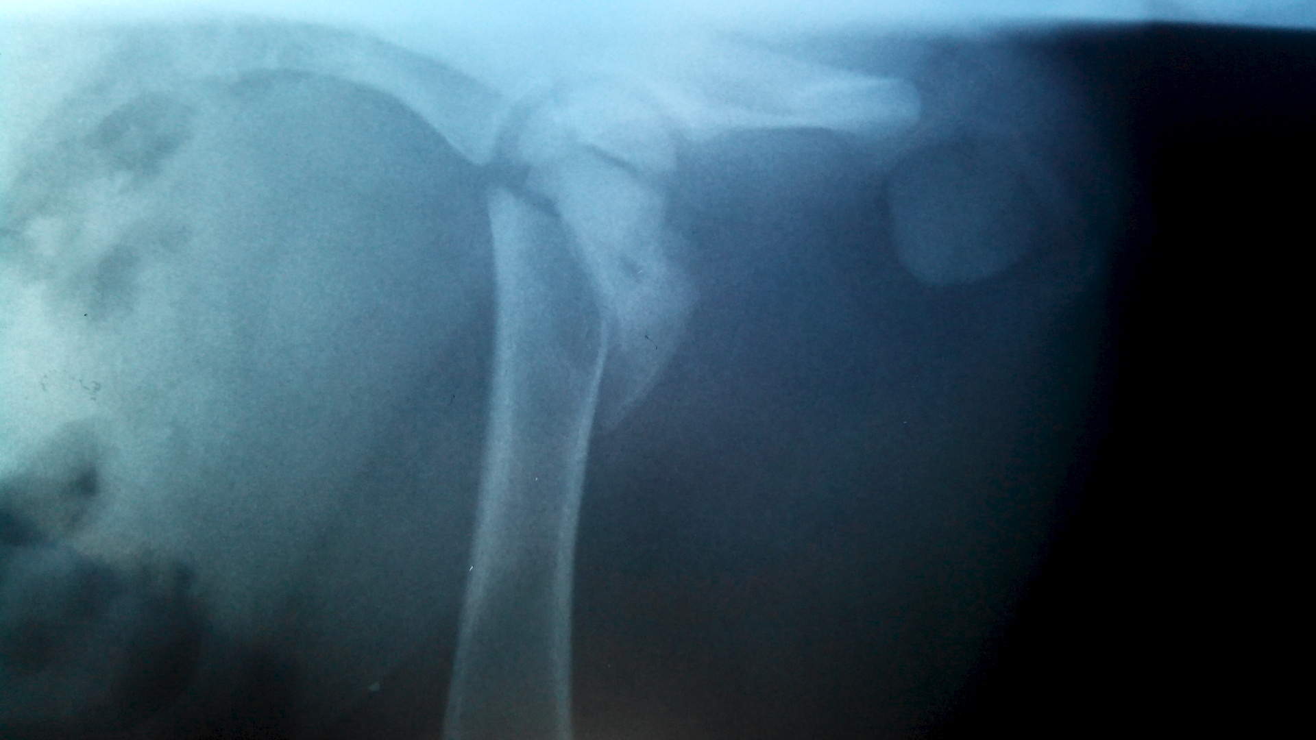
Здравствуйте. Ситуация: щенок 2 мес. лайка перелом левого тазобедренного сустава. Чрезвертельный перелом бедра со смещением кпереди на толщину кости и вверх на 1 см.
Посоветуйте хорошего специалиста. У нас в Сарапуле, делает единственная клиника, но после того как наша кошка после стерилизации не отошла от наркоза, у меня появилось стойкая не переносимость данного заведения. И еще вопрос к специалистам: посоветовали нам ветеринара, но он оперировать сегодня отказывается ссылаясь на отсутствие времени, ассистента и расходников, говорит, что 2-3 дня ничего не решат, даже лучше будет (спадет отёк), так ли это? За раннее благодарю всех за ответы.
Показать текст сообщения полностью
Посоветуйте хорошего специалиста. У нас в Сарапуле, делает единственная клиника, но после того как наша кошка после стерилизации не отошла от наркоза, у меня появилось стойкая не переносимость данного заведения. И еще вопрос к специалистам: посоветовали нам ветеринара, но он оперировать сегодня отказывается ссылаясь на отсутствие времени, ассистента и расходников, говорит, что 2-3 дня ничего не решат, даже лучше будет (спадет отёк), так ли это? За раннее благодарю всех за ответы.
