Девочки, спасибо за участие, у нас (ТТТ) все хорошо.
Вчера ездили на очередную консультацию к Жуйкову, еще недельку со спицами ходим и снимаем. Лапка потихоньку обрастает шерстью, швов уже и не видно почти, воротничок нам жмет уже послеоперационный

Ральфа почти перевели на сушку, поначалу проблемы были с животиком, сейчас все нормализовалось.
Из поступлений - 300 от bebycats, 150 от vNadezhde10, 500 от Чел$и, итого собрано 950р. Вроде никого не забыла - уточню у брата, карта его указаны, котеныш на его попечении (я добровольно-принудительный куратор
)
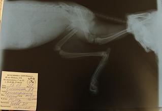
Из расходов - 3500 операция, 156,10 - антибиотики и шприцы (на эти суммы чеки выше я уже выкладывала), на постановку уколов и обработку спиц чеки я не просила выписывать, ездили в ветсервис, отдавали по 20 р. кажется, плюс два снимка по 300р. (от первого снимка чека точно не осталось, только сам снимок - выше тоже выложен, от второго снимка чек у брата, могу отсканить, но смысла думаю нет, траты все-равно перекрывают поступления).
quote:
Originally posted by Бешеная собака:
Саша, Вам фин.помощь нужна еще ? Сделали ли скидку в БИМе?
Илона, я не знаю, какая стоимость операции со скидкой была бы, мы отдали сразу 3500. За консультацию первоначальную у Марины Викторовны с нас ничего не взяли, за снятие швов и последующие две консультации у Жуйкова тоже. Получается, что кроме операции мы заплатили только за два снимка, если ничего не путаю по 300 р. за каждый (ну за последний вот точно отдавали 300р.).
Получается, что на текущий момент долгов перед Бимом у нас по Ральфу нет, да и не было в общем то, поступлений ждать мы не стали, котеныш итак бегал с таким смещением непонятно сколько дней уже, решили, что заплатим сколько нужно за операцию, а потом уже сколько соберем, столько и ладно.
Его бы вот кастрануть, если можно будет, по льготному тарифу чуть попозже.